radoncases
2010年10月25日月曜日
三河の会の症例 9月6日
武藤先生
症例1
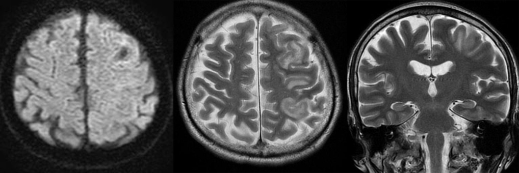
52才 男性
主訴:痙攣
現病歴:昨日より右手が動かしにくかった。朝7時頃起床。朝ご飯を食べようとして台所で痙攣を起こして倒れた。初めての症状。1回嘔吐したら意識情明になった。
既往歴:なし。
症例2
65才 男性
主訴:健診にて尿潜血陽性
症例3
8才 男児
主訴:発達障害
新しい投稿
前の投稿
ホーム
登録:
コメント (Atom)
ブログ アーカイブ
►
2011
(8)
►
10月
(1)
►
9月
(2)
►
7月
(1)
►
6月
(1)
►
4月
(2)
►
2月
(1)
▼
2010
(9)
►
11月
(1)
▼
10月
(1)
三河の会の症例 9月6日
►
8月
(1)
►
7月
(1)
►
6月
(1)
►
5月
(1)
►
4月
(1)
►
3月
(1)
►
2月
(1)
►
2009
(11)
►
12月
(1)
►
11月
(1)
►
10月
(1)
►
8月
(1)
►
7月
(1)
►
6月
(1)
►
5月
(2)
►
4月
(1)
►
2月
(1)
►
1月
(1)
►
2008
(13)
►
11月
(2)
►
9月
(1)
►
8月
(1)
►
7月
(1)
►
6月
(1)
►
5月
(1)
►
4月
(1)
►
3月
(1)
►
2月
(4)
►
2007
(7)
►
12月
(1)
►
11月
(1)
►
7月
(1)
►
6月
(1)
►
5月
(1)
►
3月
(1)
►
2月
(1)
►
2006
(1)
►
12月
(1)
自己紹介
watanabe
詳細プロフィールを表示